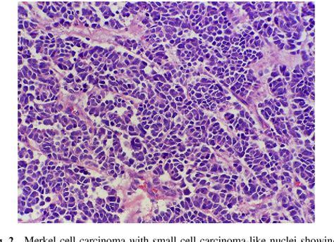
Merkel Cell Carcinoma Advanced / ESMO @ ECC 2015: Blocking PD1 Shows Promise in Merkel Cell ... / Mccs are dermally based tumors composed of small uniform round blue cells arranged in anastomosing cords, bands and clusters.

Merkel Cell Carcinoma Advanced / ESMO @ ECC 2015: Blocking PD1 Shows Promise in Merkel Cell ... / Mccs are dermally based tumors composed of small uniform round blue cells arranged in anastomosing cords, bands and clusters.. Crogvlocally advanced merkel cell carcinoma. Merkel cell carcinoma (mcc) is a rare neuroendocrine skin tumor that typically occurs in elderly, immunosuppressed patients. Merkel cell carcinoma is a rare type of skin cancer that tends to develop in older adults and in areas exposed to sunlight. Although merkel cell carcinoma can affect any part of the skin, it is most common on skin that has been chronically exposed to sunlight (for example, the face. Learn the basic features of merkel cell carcinoma (primary cutaneous neuroendocrine carcinoma), including my personal approach to using immunohistochemistry.

Treatment options for merkel cell carcinoma often depend on whether the cancer has spread beyond the skin. Although merkel cell carcinoma can affect any part of the skin, it is most common on skin that has been chronically exposed to sunlight (for example, the face. Nghiem pt, bhatia s, lipson ej, kudchadkar rr, miller nj, annamalai l, et al. Mccs are dermally based tumors composed of small uniform round blue cells arranged in anastomosing cords, bands and clusters. Support from others—in the form of advice, recommendations for local healthcare providers, or sharing personal.

How Common Is a Subsequent Keratinocyte Carcinoma Diagnosis?
How Common Is a Subsequent Keratinocyte Carcinoma Diagnosis? from img.medscape.com
A normal merkel cell is a cross between a nerve cell and an endocrine (or. 2 approved] f1000research 2019, 8(f1000 faculty. Examination of merkel cell carcinoma cell patterning leads to several recommendations for prognosis and treatment. Merkel cell carcinoma (mcc) is a rare and aggressive neuroendocrine skin cancer that has been historically associated with limited treatment robinson cg, tan d and yu ss. Peter, 2011 via wikimedia commons. Recent advances in merkel cell carcinoma version 1; Voog e, biron p, martin jp, et al: Merkel cell carcinoma demographics, morphology, and survival based on 3870 cases:

This image may contain graphic or objectionable content.

Merkel cell carcinoma (mcc) is a rare neuroendocrine skin tumor that typically occurs in elderly, immunosuppressed patients. Voog e, biron p, martin jp, et al: Peter, 2011 via wikimedia commons. Merkel cell carcinoma on the lower leg. 2 approved f1000research 2019, 8(f1000 faculty. What is likely causing my symptoms or condition? Merkel cell carcinoma has an estimated incidence of 0.23 per 100,000 people in caucasian populations, which is much less common than melanoma. Examination of merkel cell carcinoma cell patterning leads to several recommendations for prognosis and treatment. Since not all merkel cell carcinomas have the same appearance, these photos serve as a general reference for what mcc can look like. Mcc is an extremely rare, but aggressive neuroendocrine skin cancer that is at high risk of recurring and spreading (metastasizing) throughout the body, with most recurrences taking place. Chemotherapy for patients with locally advanced or metastatic merkel cell carcinoma. Merkel cell carcinoma tends to grow fast and to spread quickly to other parts of your body. Infection with merkel cell virus (mcv) and immunosuppression play an important role in the development of mcc.

If you see something new, changing or unusual on your skin, schedule an appointment with your doctor. The recent identification of a novel polyomavirus associated with the tumor has stimulated. Merkel cell carcinoma that has spread to nearby tissues or lymph nodes. Voog e, biron p, martin jp, et al: Merkel cell carcinoma (mcc) is a rare neuroendocrine skin tumor that typically occurs in elderly, immunosuppressed patients.

Advanced Merkel Cell Carcinoma Skin Cancer | KEYTRUDA ...
Advanced Merkel Cell Carcinoma Skin Cancer | KEYTRUDA ... from www.keytruda.com
Diagnosis requires microscopic evaluation as the clinical appearance is nonspecific and can mimic a variety of benign and malignant skin lesions. The recent identification of a novel polyomavirus associated with the tumor has stimulated. Merkel cell polyomavirus infection and merkel cell carcinoma. Mcc is an extremely rare, but aggressive neuroendocrine skin cancer that is at high risk of recurring and spreading (metastasizing) throughout the body, with most recurrences taking place. It tends to affects elderly whites, but there is also an increased incidence among immunosuppressed patients. Recent advances in merkel cell carcinoma version 1; If you see something new, changing or unusual on your skin, schedule an appointment with your doctor. Merkel cell carcinoma, also called neuroendocrine cancer of the skin, is an aggressive type of skin cancer that affects only about 400 people in the united states each year.

Merkel cell carcinoma (mcc) is a rare skin cancer.

Since not all merkel cell carcinomas have the same appearance, these photos serve as a general reference for what mcc can look like. Approved for advanced merkel cell carcinoma (a kind of skin cancer). Merkel cell carcinoma (mcc) is a rare neuroendocrine skin tumor that typically occurs in elderly, immunosuppressed patients. Carcinoma is a type of cancer that develops in the skin or tissues covering or lining internal organs. Keytruda has been studied in certain patients with advanced merkel cell carcinoma (a kind of skin cancer). A normal merkel cell is a cross between a nerve cell and an endocrine (or. Nghiem pt, bhatia s, lipson ej, kudchadkar rr, miller nj, annamalai l, et al. Support from others—in the form of advice, recommendations for local healthcare providers, or sharing personal. Merkel cell carcinoma (mcc) is a rare and aggressive skin cancer occurring in about 3 people per 1,000,000 members of the population. The recent identification of a novel polyomavirus associated with the tumor has stimulated. Although merkel cell carcinoma can affect any part of the skin, it is most common on skin that has been chronically exposed to sunlight (for example, the face. Merkel cell carcinoma klaus d. Mccs are dermally based tumors composed of small uniform round blue cells arranged in anastomosing cords, bands and clusters.

Additionally, advanced age and immunosuppression play a distinct role in prognosis of merkel cell carcinoma, as both factors have been shown to negatively affect outcome. Voog e, biron p, martin jp, et al: Keytruda has been studied in certain patients with advanced merkel cell carcinoma (a kind of skin cancer). Cancer records show that doctors diagnosed about 2,000 mccs in the united states during 2018.1. Merkel cell carcinoma is rare, and it's common for many medical professionals to be unsure of where to start.

Recent advances in cancer immunotherapy based in immune ...
Recent advances in cancer immunotherapy based in immune ... from i1.wp.com
Avelumab (bavencio) 10 mg/kg iv over 60 minutes once on day 1. Merkel cell carcinoma is a rare type of skin cancer that tends to develop in older adults and in areas exposed to sunlight. Additionally, advanced age and immunosuppression play a distinct role in prognosis of merkel cell carcinoma, as both factors have been shown to negatively affect outcome. The recent identification of a novel polyomavirus associated with the tumor has stimulated. If you see something new, changing or unusual on your skin, schedule an appointment with your doctor. Find out more about risk factors, symptoms, tests to. Examination of merkel cell carcinoma cell patterning leads to several recommendations for prognosis and treatment. Different staging systems make it difficult to compare the.

Merkel cell polyomavirus infection and merkel cell carcinoma.

Mccs are dermally based tumors composed of small uniform round blue cells arranged in anastomosing cords, bands and clusters. Merkel cell carcinoma is a highly aggressive primary cutaneous neuroendocrine carcinoma primarily affecting elderly and immunosuppressed individuals. Infection with merkel cell virus (mcv) and immunosuppression play an important role in the development of mcc. Merkel cell carcinoma is rare, and it's common for many medical professionals to be unsure of where to start. Treatment options for merkel cell carcinoma often depend on whether the cancer has spread beyond the skin. Find out more about risk factors, symptoms, tests to. Recent advances in merkel cell carcinoma version 1; Crogvlocally advanced merkel cell carcinoma. Different staging systems make it difficult to compare the. For merkel cell carcinoma, some basic questions to ask your doctor include: Learn the basic features of merkel cell carcinoma (primary cutaneous neuroendocrine carcinoma), including my personal approach to using immunohistochemistry. Support from others—in the form of advice, recommendations for local healthcare providers, or sharing personal. Merkel cell carcinoma (mcc) is a rare skin cancer.

Merkel cell carcinoma tends to grow fast and to spread quickly to other parts of your body merkel cell carcinoma. Merkel cell carcinoma (mcc) is a rare skin cancer.

Comments